Безопасно ли отбеливание зубов?
Отбеливание – одна из самых популярных процедур эстетической стоматологии, заключающаяся в осветлении зубов на несколько тонов с помощью специальных препаратов в виде гелей, ультразвука...
Кто такой врач невролог и что нужно знать?
Невролог наблюдает за реакциями организма больного, исследует деятельность нервной системы, ставит диагноз и проводит специализированное лечение. Что именно он делает и какова его работа?...
Кашель: причины появления, при каких заболеваниях возникает, диагностика и способы лечения
Определение
Кашель – это реакция организма на любое раздражение дыхательных путей, мешающее проходимости воздуха. Раздражающими агентами могут быть мокрота, патогенная флора, инородные тела, пыль, опухоли...
Как открыть медпункт?
Медпункт – это место первого контакта с врачом во время болезни и недомогания. Все пользуются государственными и частными медицинскими услугами, поэтому медицинская отрасль —...
На что обратить внимание при выборе семейного врача?
Каждое застрахованное лицо имеет право на бесплатную медицинскую помощь, оказываемую семейным врачом в рамках Национального фонда здравоохранения. Более того, каждый может решить, к какому...
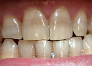
Флюороз — страшный зверь? Причины, симптомы, лечение
Замечали ли вы у себя или у окружающих желтовато-коричневую пятнистость на зубах? Если нет, наши поздравления - скорее всего вы живёте в благоприятном регионе,...
Для чего нужна процедура реабилитации после эндопротезирования тазобедренного сустава?
Эндопротезирование (аллопластика) тазобедренного сустава – хирургическая процедура, связанная с имплантацией искусственных элементов сустава. Целью процедуры является улучшение биомеханического состояния сустава, улучшение двигательных функций пациента,...
Алексей Анатольевич Кристелев о качестве медицинского обслуживания
Качество обслуживания пациентов после начала программы импортозамещения в медицине вполне отвечает современным требованиям. Никто не был обделен вниманием, все получили высококвалифицированную помощь и необходимые...
Анализ мочи по Зимницкому — все, что вам нужно знать об...
Лабораторные анализы крови и мочи являются наиболее часто выполняемыми тестами. В первую очередь потому, что зачастую на их основании врач способен установить причины недомоганий...
Купить БИПАП аппараты от Mediflex Homecare с доставкой по Москве и...
Купить БИПАП аппараты от Mediflex Homecare с доставкой по Москве и России
Компания “Медифлекс” представляет собой надежную организацию, занимающуюся поставками медицинского оборудования на территории Российской...















